Сибиряк жил с беспричинно хорошим настроением из-за гигантской опухоли в мозге
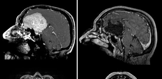
Новосибирские нейрохирурги спасли 68-летнего пенсионера из Кузбасса, за лечение которого многие не брались из-за слишком сложной ситуации. К признакам наличия у него опухоли головного мозга врачи отнесли не только физиологические отклонения, но и недостаток самокритики и хорошее настроение. Как рассказали в новосибирском НМИЦ имени Мешалкина, изначально поводом для обращения пациента из Кемеровской области к врачам … Читать далее Сибиряк жил с беспричинно хорошим настроением из-за гигантской опухоли в мозге
Скопируйте и вставьте этот URL на ваш сайт под управлением WordPress
Скопируйте и вставьте этот код на ваш сайт