В феврале 2026 года из-за неожиданно появившейся опухоли в голове лечь на стол нейрохирургов в новосибирском НИИТО решилась 81-летняя пенсионерка. В таком возрасте подобные операции требуют особого подхода, не каждый хирург и пациент готовы пойти на риск. В данной ситуации медики сами предложили операцию, а оптимистично настроенная пациента решила рискнуть.

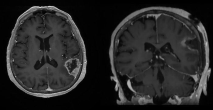
Как рассказали в пресс-службе Новосибирского НИИТО им. Я.Л. Цивьяна, в декабре 2025 года врач-фтизиатр с 30-летним стажем (на пенсии) Татьяна отметила 81-й день рождения. А незадолго до этого впервые почувствовала резкое ухудшение здоровья: упало зрение, появилась слабость, конечности онемели. В какой-то момент словно случился инсульт. Женщина обратилась к коллегам и оказалась в сосудистом центре. Сначала состояние стабилизировалось, но вскоре пенсионерка вдруг стала заикаться. МСКТ и МРТ головного мозга выявили опухоль в левой теменной доле, которая и вызвала проблемы.
«Мне предложили оперативное нейрохирургическое лечение, и сначала я сомневалась, но потом подумала. Я же оптимист по натуре, 81 год прожила хорошо, может, ещё получится хорошо пожить? Решилась на операцию и стала собираться, я же человек дисциплинированный», — рассказывает пациентка.

Как подчеркивают в НИИТО, хирургическое лечение возрастных пациентов требует учитывать множество факторов, связанных с сопутствующими заболеваниями, физиологическими изменениями всех систем организма, нарушением метаболизма и повышенным риском осложнений. Из-за этого нужна слаженная командная работа врачей разных специальностей, мультидисциплинарный подход. В феврале 2026 года Татьяну планово госпитализировали. К счастью, опухоль 3×4×5 см успешно удалили с использованием нейронавигации для минимального травмирования тканей. После операции пациентку направили на дальнейшее гистологическое обследование.
«Физиологический резерв у данной категории минимален, компенсаторные возможности организма существенно ограничены. Необходимо избегать колебаний жизненно важных показателей. Фармакокинетика и фармакодинамика лекарственных средств могут изменяться, что диктует необходимость тщательного контроля за вводимыми препаратами и инфузионными средами. Совокупность этих факторов обусловливает сложность ведения таких пациентов и требует особого внимания на всех этапах хирургического лечения: при предоперационной подготовке, в интраоперационном периоде и в послеоперационном наблюдении», — комментирует к.м.н., врач-анестезиолог-реаниматолог Сергей Волков.
Сейчас пенсионерка находится в удовлетворительном состоянии и уже выписана из стационара. Глобальных планов она пока не строит — отдыхает и ждет результаты обследования. Но уже думает, как будет поправлять причёску к лету и стряпать внукам. О своем рискованном решении и возможностях дальнейшего восстановления после операции говорит так: «Я этим шансом воспользовалась, а там будь что будет».
Ранее в «Новой Сибири»:
Новосибирские ученые нашли признаки древней челюстно-лицевой хирургии у 2500-летней женщины








