Пенсионеров отправили за «бабками» через WhatsApp
То ли шутники, то ли мошенники бросили пенсионеров в атаку на отделения Пенсионного фонда России по Новосибирской области
ТЕЛЕФОНЫ «горячей линии» управлений Пенсионного фонда России...
За «Тионом» оставили право на очистку воздуха
Уголовное дело основателя новосибирской инновационной компании прекращено за отсутствием состава преступления
ЗАКРЫТО резонансное уголовное дело Дмитрия Трубицына — основателя новосибирской инновационной компании «Тион», производящей очистители воздуха. Его...
НОВАТ в Стране утренней свежести
Ведущие солисты оперной труппы НОВАТа вернулись в Новосибирск из Южной Кореи
В ГАСТРОЛЯХ, организованных CBS — местным общественным телевизионным каналом, приняли участие Вероника Джиоева, Дарья...
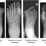
НИИТО, да не то
Судьбу уникального медицинского учреждения федеральный Минздрав будет решать с учетом позиции депутатов Законодательного собрания
ВОТ уже восемь месяцев 800 сотрудников Новосибирского научно-исследовательского института травматологии и...
В библиотеке имени Чернышевского знают, «Что делать»
Районные библиотеки не только не ушли в прошлое, но и, в том числе при поддержке депутатов горсовета, устремляются в будущее
СВОЕ 85-летие Первомайский район отметил...
Новосибирск — рядом с Сонгбуком и Монтевидео
ПРОЕКТ «Новосибирск — город-музей», подготовленный сотрудниками Музея Новосибирска, вошел в число победителей 3-го международного конкурса «Мехико. Культура XXI века».
Всего в конкурсе участвовало 98 мировых...
Под знаком «Белой розы»
На округе депутата горсовета Евгения Лебедева юные поэты и прозаики получают путевку в жизнь
НА СЦЕНЕ ДДК им. М. И. Калинина в Дзержинском районе Новосибирска...
Лес вместо ЛДС
Администрация президента уже посылает на старт строительства своего человека, а новосибирские активисты встают в пикеты за лес, который лесом не является
НА СТАРТ строительства ледового...
Липа в саженцах и обязательствах
В Новосибирске гремит скандал вокруг точечного объекта, отгородившего лицей «Надежда Сибири» от внешнего мира забором, который упал
ВОЗЛЕ лицея № 22 «Надежда Сибири» на этой...
Кто из великих приземлится в «Толмачево»?
В рамках проекта «Великие имена России» новосибирский аэропорт «Толмачево» и 44 других не сменят имена, а получат вторые
НОВОСИБИРСКОМУ аэропорту «Толмачево» присвоят имя выдающегося соотечественника...
















